Vol8 No.2
KSIC Newsletter
Published by Korean Society of Interventional Cardiology

APRIL 2022
People in KSIC

나의 해외연수를 추억하며
- 미국 스탠포드 심장내과 연수기


오준혁  | 부산대학교병원 순환기내과
미국 캘리포니아 주에 있는 스탠포드 대학병원에서 심장내과 Alan C. Yeung 선생님 지도하에 1년 반 연수를 마치고 2019년 여름 귀국 한지 어느덧 2년 반이 흘러 갔습니다. 귀국 후 겨울에 시작된 코로나가 모든 일상을 바꿔 놓고 지금까지 지속되면서 정점을 향해 가는 듯 합니다. 앞으로 연수를 계획중인 선생님들에게 조금이나마 도움이 되고자 글을 적어 봅니다.

2018년 1월 2일 마침내 샌프란시스코 국제공항에 내렸습니다. 잔뜩 긴장하고 두근거리는 마음으로 입국 심사장에 들어섰고, 미비 서류 없이 무사히 심사를 통과하고 나서야 안도의 한숨을 내쉬었습니다. 몇 일 전 새로 산 큰 가방에(일명 이민가방) 옷가지들을 가득 넣고 가족을 동반하고 입국장을 나선 이곳은 춥고 비가 내리는 아주 낯선 곳이었습니다. 차를 렌트하고 바로 달려간 곳은 Bank of America, 여기서 신규계좌를 개설하고 현금을 입금하고 cashier’s check(자기앞 수표)을 발행 받아야 했지만 의사소통의 어려움과 함께 계좌 개설과정이 순조롭지 않았고 날이 어둑어둑해져서야 비로서 이곳 아파트의 집에 들어 설 수 있었습니다. 바닥은 카페트로 깔려 있었으며, 기본적으로 냉장고, 전자렌인지, 오븐, 전기 스토브는 갖춰져 있었으나 다른 가구들이 전혀 없었기 때문에 첫 날은 바닥에 옷가지들을 깔고, 입고 날수 밖에 없었습니다. 이렇게 저의 미국 연수생활은 시작 되었습니다.
이전에 미국에서 생활했던 경우가 아니라면 모든 사회 시스템에 처음 노출되는 신생아와 마찬가지이기에 각종 기관에 서류등록, 휴대폰 전화개설, SSN(Social security number) 발급하는 대에 한 달이 넘게 걸렸고. 캘리포니아 운전면허증을 발급 받기까지에는 4개월이 넘게 걸렸습니다. 과정 중에 이곳에 이미 연수 와 계신 여러 한국 선생님들의 많은 도움을 받을 수 있었습니다.

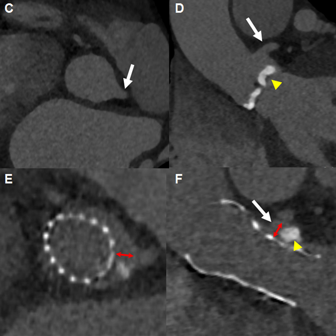
스탠포드 대학교의 메디컬센터는 FAME 연구의 저자인 William Fearon이 있는 곳이기도 합니다. 저의 주된 관심 분야는 경피적 대동맥판막치환술(TAVR)에 대한 것이고 시술을 주로 Alan C. Yeung 선생님과 William Fearon 선생님이 주로 하셨습니다. 매주 금요일 아침 방사선과 회의실에서 심장내과, 흉부외과, 마취과, 방사선과, 코디네이터 선생님이 모여서 케이스에 대한 토의하고 시술 방법, 시기 등을 조율 하였습니다. 이러한 팀 회의에 참석하며 여러 선생님들의 의견을 듣는 것이 도움이 많이 되었고, 특이한 점은 흉부외과 선생님들도 TAVR 시술을 같이 하고 있었습니다. CT 측정하시는 선생님 통해서 pre-TAVR CT evaluation 하는 과정을 배웠으며 이는 이후 연구는 물론이고 지금도 케이스 선별과정을 진행하는 데 있어서 큰 밑거름이 되고 있습니다. 인상 깊은 한 케이스는 그림 1에서와 같이 판막에 심한 석회화가 관찰되어 시술 시 관상동맥폐색의 위험성이 높다고 판단 되었지만 TAVR 시술 이후 판막이 옆으로 접히듯이 밀려난 예로 실제로는 관상동맥 폐색의 위험성 보다는 annular rupture의 위험이 더 컸었을 것으로 보입니다.

d1_1.jpg

[그림 1] The displacement movement of heavy calcified leaflet after deployment of a 29 mm Evolut R valve (Int J Cardiol Heart Vasc 2021;30:100917)

넓은 부지에 자리잡고 있는 종합대학이라 그 풍부한 인프라는 그저 부러울 뿐이며 근처에 타 학과들이 같이 있기에 서로 연계된 연구도 많이 이루어지고 있었습니다. 하루는 목요일 오전에 있는 순환기 아침 모임에서 빵과 커피를 마시며 Todd J. Brinton 선생님의 달걀 껍질부터 깨는 것부터 시작된 lithoplasty balloon 개발 과정을 들을 수 있었습니다. 현재 이 시스템은 혈관석회화 병변 치료의 한 도구로 새로이 등장하게 된 shockwave intravascular lithotripsy (IVL) 시스템으로 상용화가 되었네요.

이 모임에서 미국 전역의 여러 석학들의 강의를 들을 수 있었고 호주의 Melbourne시의 Monash University의 순환기 선생님이면서도 Boston Scientific의 Global CMO and Executive Vice President로 활동 중인, Ian T Meredith 선생님과도 기념촬영을 할 수 있는 영광을 얻을 수 있었습니다 (사진1). 지금은 코로나로 인해 모든 것이 비대면 온라인으로 대체되어 버렸네요.
캘리포니아의 맑은 공기와 아름다운 공원 같은 교정, 주말에 가족들과 같이 식사를 할 수 있는 교내 식당, 무료로 이용할 수 있는 체육시설 및 수영장, Bechtel International Center 열리는 다양한 영어 수업과 여러 나라에서 온 사람들을 만날 수 있는 기회, 여유롭게 거닐 수 있는 근처의 많은 공원들은 이제 그리운 추억으로 남습니다. 낯선 사회의 적응과 필수적으로 따라오는 서류작업, 언어의 장벽, 경제적인 스트레스가 있지만 노력한 만큼 성과가 따라오는 미국사회를 느낄 수 있었고 시간은 정말 빨리 흘러갔습니다. 연수를 준비하시는 선생님들은 타지에서 모쪼록 짧은 시간 행복하게 지내시기를 기원합니다.
d1_2.jpg