Vol 11 No.2
KSIC Newsletter
Published by Korean Society of Interventional Cardiology

APRIL 2025
보험심사조정사례

AMI 심사 조정 사례 (서울, 동북)


[출처] 대한심혈관중재학회 보험자료>보험사례
※ 본 사례는 회원님께서 학회로 공유하여 주신 보험 심사 조정 사례([회원] AMI 심사 조정 사례 2 (서울,동북)) 입니다.
  • 1. 진행단계:
    □ 0단계(진료심사평가위원회) ■1단계 (이의신청) □ 2단계(심판청구)
  • 2. 청구상병명:
    NSTEM
  • 3. 주요 청구내역:
    ■ 행위 ■ 치료재료
    급성심근경색증의 원인병변에 대한 경피적 관상동맥스텐트삽입술 [일차적중재술 등] / M6565, IEM65651
  • 4. Case Summary
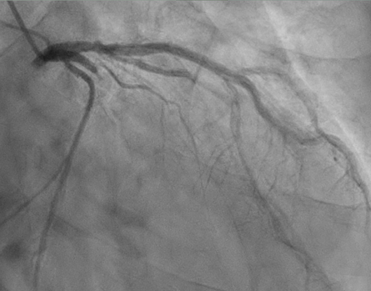
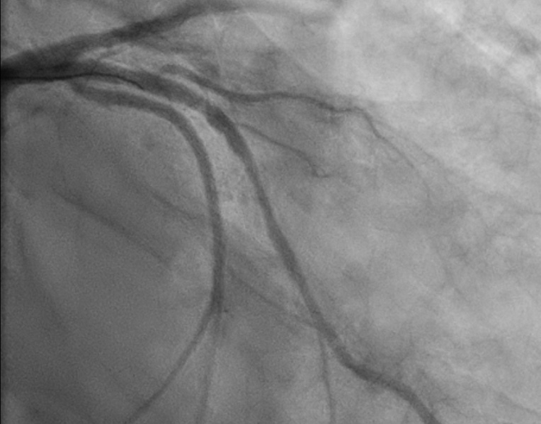
    h1_1.jpg

    환자는 응급실로 내원해서 위와 같이 thrombotic occlusion이 있었던 분입니다.

    h1_1.jpg

    Enzyme도 상승하였고,

    h1_1.jpg

    PCI는 비교적 간단하게 풍선과 스텐트로만 하였습니다.

  • 5. 심평원 통보 심사 조정 사유
    • ▶(조정사유) (경피적관상동맥스텐트삽입술-급성심근경색증의 원인병변에 대한 경피적관상동맥스텐트삽입술[일차적중재술 등])이 (경피적관상동맥스텐트삽입술-단일혈관)으로 해당자료 및 심사전문위원 이전 자문결과를 참조하여 심사조정 되었습니다.
    • ▶(관련근거) 국민건강보험법 제63조 건강보험심사평가원은 요양급여비용을 심사하고 적정성 평가를 수행함에 있어 의학적 타당성과 전문성을 제고하기 위하여 심사전문위원의 자문결과에 따라 심사함.
    • ▶인정코드: 단일혈관 Single Vessel / M6561, IEM65611, IEM65613
  • 6. 이의 신청 사유

    상기 환자는 응급실 내원 당시도 흉통이 있었고, 약물치료 중 소실되지 않아 응급관상동맥 조영술을 시행한 분으로 초고위험군이 맞습니다.

    조영술 결과도 stenotic lesion도 아닌 폐색성 병변이고 혈관의 proximal occlusion으로 응급 시술이 필요했을 환자로 분류되어야 합니다. EF도 40% 전후입니다. 혈전성 폐색, 혈전 제거술을 포함한 스텐트 시술을 한 분으로 flow도 관련 근거에 부합한다고 판단합니다.

  • 7. 관련 규정

    2024년 6월 1일부로 시행된 고시에서, 급성심근경색증의 원인병변에 대한 경피적 관상동맥 중재술의 급여기준 중 2. 비ST분절상승 급성심근경색증에서 아래 기준 중 하나 이상에 해당되어 내원 후 24시간 이내에 시행한 경우

    - 아 래 -
    • 가. 혈역학적 불안정성 또는 심인성 쇼크
    • 나. 약물치료에 불응하는 재발성 또는 지속성 흉통
    • 다. 발병 후 생명을 위협하는 부정맥 또는 심장마비
    • 라. 기계적 합병증(Mechanical complications)
    • 마. 지속되는 심근 허혈로 인해 발생한 급성 심부전
    • 바. 일시적인 ST분절 상승을 동반한 NSTEMI
    • 사. ST분절 또는 T파의 동적변화
    • 아. 심근경색증에 부합하는 심근효소의 상승 및 변화